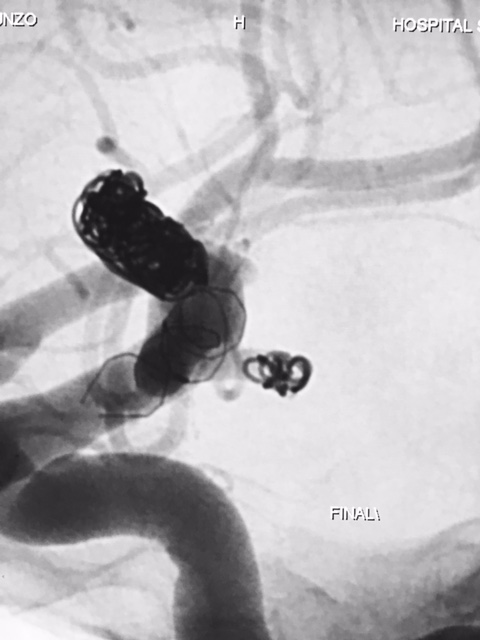
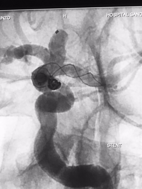
Aneurisma de topo da carótida

SNA. 76 anos. Durante investigação ambulatorial de cefaléia e tremor nas mãos foi realizado Angiotomografia de crânio evidenciando aneurisma incidental em topo da artéria carótida interna esquerda. Foi realizado Angiografia Cerebral diagnóstica para programação adequada do tipo de abordagem cirúrgica, neste exame confirmou a presença deste aneurisma sacular de contornos irregulares, com orientação superior e anterior, medindo 7,0 x 4,0mm com colo estimado de 4,5mm. 


Diante da localização do aneurisma ( intradural ) foi indicado o procedimento terapêutico endovascular. Desde então se programou abordagem com uso de neurostent e molas em virtude da largura do colo do aneurisma. A discussão maior foi em relação ao posicionamento deste stent, direcionando para segmento A1 da artéria cerebral anterior ou segmento M1 da artéria cerebral média. Outros detalhes relevantes, esta paciente apresentava outro baby aneurisma em artéria do complexo comunicante anterior opacificando-se pela artéria carótida interna esquerda, hipoplasia do segmento A1 da artéria cerebral anterior á direita e outro aneurisma de segmento comunicante da artéria carótida interna esquerda. 


Orientado ao paciente iniciar dupla ati-agregação ( AAS100mg/dia + Clopidogrel75mg/dia) com 7 dias de antecedência do procedimento.


Ambos posicionados em segmento proximal de artéria carótida interna, com progressão gradativa no Cateter Envoy XB DA 070 para segmento petroso desta mesma artéria. Inicialmente realizou micronavegação  do  aneurisma de segmento comunicantecateter com microcateter Echelon 10 microguia Silver Speed 0,10  e liberado 2 microespiras  posteriormente progredindo até saco aneurismático do aneurisma de topo de carótida. Assim, em sistema coaxial foi progredido microcateter VASCO 21 até o segmento M1 da artéria cerebral média, sendo optado pela orientação do aneurisma e orientação de seu colo com maior envolvimento deste mesmo vaso. Assim, diante do posicionamento adequado de ambos os microcateteres iniciou a liberação controlado do stent LEO, e por seguinte liberado um total de 8 microespiras no saco aneurismático até oclusão completa-Raymond 1.


Voltar

Mais Notícias

EDITAL DE ESPECIALIZAÇÃO DO PROGRAMA DE FELLOWSHIP EM...

EDITAL DE ESPECIALIZAÇÃO DO PROGRAMA DE FELLOWSHIP EM NEURORRADIOLOGIA INTERVENCIONISTA INSTITUTO PREVENT SENIOR  - 2026 https://institutopreventsenior.com.br/wp-content/uploads/2025/12/Edital-Fellowship-Neurorradiologia-Terapeutica-IPS-2026-.pdf INSCRIÇÕES...

Leia mais

RESULTADO DO PROCESSO SELETIVO DO PROGRAMA DE...

RESULTADO DO PROCESSO SELETIVO DO PROGRAMA DE POS-GRADUAÇÃO LATO SENSU EM NEURORRADIOLOGIA INTERVENCIONISTA IAMSPE 2025

Leia mais

EDITAL DE ESPECIALIZAÇÃO DO PROGRAMA DE FELLOWSHIP EM...

EDITAL DE ESPECIALIZAÇÃO DO PROGRAMA DE FELLOWSHIP EM NEURORRADIOLOGIA INTERVENCIONISTA IAMSPE - 2025

Leia mais
Lançamento Silk Vista Baby

Lançamento Silk Vista Baby

Equipe CDNI participa do lançamento do novo stent diversor defluxo Silk Vista Baby com a ilustre presença com a presença ilustre do Prof. Dr. Vitor Mendes Pereira 

Protocolo tratamento AVC IAMSPE

Protocolo tratamento AVC IAMSPE

Descritivo do protocolo de tratamento AVC fase aguda do IAMSPE

Leia mais
Protocolo tratamento AVC IAMSPE

Protocolo tratamento AVC IAMSPE

Descritivo protocolo tratamento do AVC agudo do IAMSPE

Leia mais
Tratamento de aneurisma cerebral com auxílio de balão duplo lumém e neurostent LEO

Tratamento de aneurisma cerebral com auxílio de balão...

MMDF, 67 anos.  Paciente com histórico de aneurisma roto em Novembro de 2016, tratada pela equipe do CDNI na fase aguda. Na ocasião apresentava Tomografia de crânio evidenciando hemorragia subaracnoidea Fisher IV e escala de Hunt Hess III (Sonolência e déficit...

Leia mais
Equipe CDNI é responsável por centro participante do primeiro estudo multicêntrico nacional no tratamento do AVC - RESILIENT

Equipe CDNI é responsável por centro participante do...

Equipe CDNI é responsável por centro participante do primeiro estudo multicêntrico nacional no tratamento do AVC

Leia mais

Novo Ensaio Clínico permiti ampliação de janela...

Novo Ensaio Clínico permiti ampliação de janela terapêutica para tratamento endovascular do AVC isquêmico

Leia mais
Discussão de tratamento de Fístula Arteriovenosa Dural grau I

Discussão de tratamento de Fístula Arteriovenosa Dural...

LSF,62 anos.  18/10/17: Encontrada caída por familiares após suposta síncope. Encaminhada aSanta Casa de São Paulo pelo SAMU. Sem história de cefaléia súbita. Despertar em GCS 15, sem déficits. Realizada Tomografia de crânio evidenciando Hemorragia...

Leia mais
Aneurisma roto de complexo comunicante anterior

Aneurisma roto de complexo comunicante anterior

Paciente encontrada por familiares com quadro de cefaléia e confusão mental com progressão nas últimas 6 horas.

Leia mais
Embolização de Aneurisma segmento Oftálmico

Embolização de Aneurisma segmento Oftálmico

Embolização de aneurisma roto em  segmento oftálmico da artéria carótida interna esquerda.

Leia mais
Tratamento endovascular de aneurismas de segmento oftálmico com colo desfavorável

Tratamento endovascular de aneurismas de segmento...

Tratamento endovascular de aneurismas com relação fundo/colo desfavorável utilizando stents redirecionadores de fluxo.

Leia mais

Publicado as diretrizes brasileiras para o tratamento...

Diretrizes brasileiras para o tratamento endovascular de pacientes com acidente vascular cerebral isquêmico agudo

Leia mais